
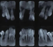
歯周ポケットの深さが3mm以内、歯のグラグラ揺れる幅が1度(0.7mm~1.0mm)以内のもの。X線写真を撮ってみると、歯槽骨の吸収が歯根の長さの3分の1以内に収まっているものです。
![]() |
![]() |
歯肉にプラークが付着しており、軽度の腫れがみられ、赤みをおびています。レントゲンでは、わずかに骨の高さが減ってきていますが、目立ったものではありません。 |
歯周ポケットの深さが3~6mm以内、歯のグラグラ揺れる幅が1~2度(1.0mm~2.0mm)以内のもの。X線写真を撮ってみると、歯槽骨の吸収が歯根の長さの3分の1から3分の2に収まっているものです。
![]() |
![]() |
歯肉は腫れていて、歯と歯肉の境目にはプラークや歯石が目立ちます。そのため歯肉は出血しやすく、歯周ポケットから膿みがでることが見受けられます。レントゲン写真では、歯を支えている骨が減ってきていることがわかります。 |
歯周ポケットの深さが6mm以上、歯のグラグラ揺れる幅が2~3度(2.0mm~)以上のもの。X線写真を撮ってみると、歯槽骨の吸収が歯根の長さの3分の2以上にもなっているものです。
![]() |
![]() |
歯肉は大きく腫れ上がり多量のプラークと歯石が沈着しています。レントゲン写真では、歯を支えている骨が、かなり少なくなっています。そのため、歯の動揺は大きく、歯の移動、歯の離開が目立ちます。 |